可检测牛奶是否变质的新型传感器

检测牛奶中挥发性化合物的实验装置,液体上方可见粉红色的纳米颗粒
据麦姆斯咨询报道,美国华盛顿州立大学(Washington State University,简称WSU)的科学家团队开发出一种新型传感器技术,使得牛奶以标示的日期作为保质期这一传统方法或将成为历史。
来自该大学生物系统工程系(Biological Systems Engineering,简称BSE)、WSU/UI食品科学学院和其他部门的研究人员共同开发出一种能够“闻出”牛奶是否变质的传感器。
据BSE的Shyam Sablani教授介绍称,该传感器由化学涂层纳米颗粒组成,无须将其接触牛奶,其纳米颗粒可直接对牛奶产生的气体和表明腐败的细菌生长做出反应。
“大多数变质的食物都会产生一种难闻的挥发性化合物,” Sablani教授说,“多数情况下,都是由于食物中的细菌生长造成的,但常规只有打开容器才能闻到这种气味。”
传感器检测到这些挥发性气体从而改变颜色。这项研究突破目前尚处于早期阶段,Sablani教授和他的同事在发表于《食品控制》杂志上的一篇论文中指出,他们的这项研究是基于受控的实验室环境中取得的化学反应成果。
该团队下一步计划开发一种方法,可以直观地显示食物距离变质还有多长时间。目前,该新型传感器只能检测牛奶是否已经变质。

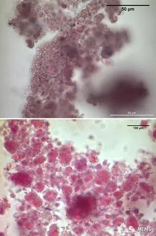
显微镜下具有涂层的纳米颗粒,与变质的牛奶气体发生化学反应之前(上图);同样的纳米颗粒发生化学反应,“闻出”了变质的牛奶(下图)
尽管研究还处于早期阶段,Sablani教授依旧希望能与食品行业合作,将传感器安置于奶瓶的塑料瓶盖上,这样消费者就可以很容易地看到牛奶的保质期还有多久。
食品标示的保质期普遍存在一个问题,它们都是食品处于于最佳环境状态时确认的。
Sablani教授称:“冷藏或冷冻食品只有始终处于适当的温度下,它们标示的保质期才是准确的。”
他补充道,食品在运输过程中或者消费者从商店回家途中,温度异常,以及食品温度高于最佳冷藏、冷冻温度的情况是非常常见的。
“我们必须与业界合作,才能实现这一目标,” Sablani表示,“但我们有信心能够成功,帮助改善食品安全,让消费者能更准确地把握食品的真实保质期。”
Pre:一文看懂传感器的应用场景 2026-03-09
Next:电子科技大学利用纳米纤维有机传感器实现氢气检测 2026-03-09

Collect
Navigate:






